2.植物叶片的光合作用直接关系到作物产量,同时也是植物对非生物胁迫最敏感的机制。水稻的蛋白质组学和代谢组学联合分析有助于揭示水稻响应非生物胁迫的关键代谢和调控途径,但秸秆还田对水稻叶片影响的研究还很少。
在秸秆不还田(SO)和秸秆还田(SR)两种环境中施用基础肥,以1-3苗/穴的的密度移栽30日龄苗。移栽30天里每日取长势相同的植株样本,分别取茎和根烘干后称重,并在上午10点至12点之间收集水稻植株上部完全展开的叶片,液氮保存以进行后续的非结构性碳水化合物含量检测、透射电镜观察叶绿体超微结构以及蛋白质组学和代谢组学分析。
三、研究结果
1、水稻生长及理化数据检测
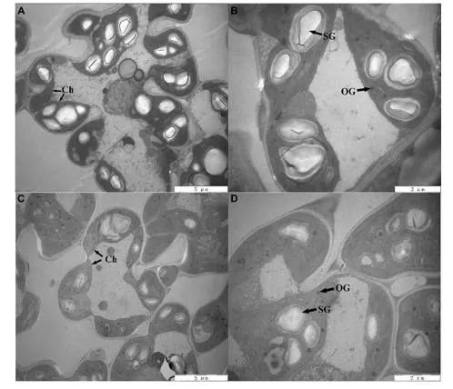
与S0处理相比,SR处理降低了水稻株高、根长、分蘖数和叶片数(表1)。结果显示,SR处理严重抑制了水稻的生长。与S0处理相比,SR处理淀粉粒变小,基质类囊体排列疏松无序,水稻秸秆还田抑制了叶绿体的发育(图1)。SR处理的淀粉、蔗糖和可溶性糖含量较S0处理显著降低,表明秸秆还田显著降低了水稻叶片非结构性碳水化合物含量。

表1

图1 叶绿体超微结构

表2
2、水稻叶片蛋白质组分析
本次共鉴定到632个差异蛋白(DEPs),其中329个上调,303个下调。SR处理下,叶绿素a-b结合蛋白、光系统II D2蛋白、光系统II反应中心蛋白、细胞色素b6等下调。这些蛋白的下调削弱了水稻叶片的光合能力。SR处理导致水稻叶片超氧化物歧化酶(SOD)、过氧化氢酶(CAT)等下调,从而改变了叶片清除活性氧(ROS)的能力。此外,碳代谢相关蛋白的丰度也发生了变化,甘油醛-3-磷酸脱氢酶(GAPDH)、6-磷酸果糖激酶(PFK)等蛋白下调,影响了水稻叶片的碳代谢。
对差异蛋白进行GO分析,涉及细胞组分、生物过程和分子功能。细胞成分分析显示,DEPs主要富集于细胞质(71.1%)、叶绿体类囊体膜(14.8%)、叶绿体(30.3%)等;分子功能分析显示,DEPs主要富集于叶绿素结合(4.9%)、电子转移活性(6.3%)、结构分子活性(9.2%)等;生物过程分析显示,DEPs主要富集于光合作用(12.1%)、前体代谢物和能量的产生(14.9%)、光反应(7.1%)等(图2)。

图2 差异蛋白GO分析
对差异蛋白进行KEGG分析,以确定DEPs可能参与的潜在调控途径。秸秆还田后的DEPs主要参与光合作用(6个下调)和氧化磷酸化(1个上调,2个下调)。因此,秸秆还田主要影响叶片中参与能量代谢的蛋白质(图3)。

图4 差异蛋白KEGG分析
3、水稻叶片代谢组分析
采用基于HILIC UHPLC-Q-TOF技术的代谢组学方法,分析了SR和50处理下水稻叶片代谢谱的变化。本次鉴定到115种差异代谢物(DEM),其中44种上调,71种下调。DEMs主要富集于α-亚麻酸代谢、半乳糖代谢、甘油磷脂代谢、TCA循环等(图4)。

图4 差异代谢物通路分析
4、综合蛋白质组学和代谢组学分析
结合蛋白质组学和代谢组学分析蛋白质与代谢物的关系,将DEPs和DEMs进行比较,共同途径包括光合作用、氧化磷酸化、碳代谢、光合生物的碳固定、乙醛酸盐和二羧酸盐代谢。与S0处理相比,SR处理产生的DEPs和DEMs主要与碳水化合物代谢和能量代谢途径相关,说明秸秆还田主要影响水稻叶片的碳水化合物代谢和能量代谢(图5)。

图5 DEMs和DEPs通路分析
四、结论
秸秆还田抑制了水稻生长,破坏了水稻叶片叶绿体超微结构。与秸秆不还田相比,秸秆还田主要影响光合作用、光合固碳、糖酵解、TCA循环等。秸秆还田降低了水稻叶片中参与能量代谢和碳水化合物代谢的蛋白质的表达,导致水稻生长所需物质和能量的减少。秸秆还田处理使有机酸、氨基酸等渗透物质在植株内积累,增强了水稻叶片的渗透调节能力。
编辑:Miao D
审核:Tao Li
参考文献

