肿瘤浸润性骨髓细胞(TIMs)是参与肿瘤免疫逃逸的重要细胞群,其功能受多种表观遗传机制的调控,但RNA-甲基腺苷(m6A)修饰控制TIMs的精确调控模式尚不清楚。
浙江大学医学院在《Molecular Cell》期刊发布题为"Lactylation-driven METTL3-mediated RNA m6A modification promotes immunosuppression of tumor-infiltrating myeloid cells"的文章,报道了乳酸化驱动的METTL3介导的RNA m6A修饰促进TIMs免疫抑制的相关研究。

研究背景
肿瘤浸润淋巴细胞(TILs)的功能障碍或衰竭会导致肿瘤免疫逃避和进一步的恶性发展,癌症免疫疗法通过重新激活TILs的功能,为多种类型的癌症带来了新的希望。
RNA N6 -甲基腺苷(m6A)修饰由甲基转移酶样3 (METTL3)/ 甲基转移酶样14(METTL14) / Wilms ' -肿瘤1-关联蛋白(WTAP)复合物催化,在mRNA修饰中最为常见,其中METTL3为复合物的催化核心,而METTL14和WTAP是调节亚基。越来越多的研究表明,m6A修饰在调节多种细胞功能中起着关键作用, 且m6A小分子靶向抑制剂在急性髓系白血病中表现出强烈的抗肿瘤反应,然而,m6A甲基化是否调节TIMs中免疫抑制表型尚未明确,此外,乳酸已被证明可以通过抑制T细胞和自然杀伤细胞(NK)加速肿瘤进展,且乳酸化作为一种表观修饰可直接刺激染色质的基因转录。
技术手段
实验材料:肿瘤浸润性骨髓细胞(TIMs)、小鼠动物模型等;
研究方法:ChIP-qPCR、Co-IP、LC-MS等;
主要研究内容
METTL3可能具有靶向肿瘤浸润性骨髓细胞的免疫治疗潜力
通过实时荧光定量聚合酶链反应(qRT-PCR)、免疫印迹和流式细胞分析发现,从患癌肿瘤分离出的小鼠细胞中的METTL3相比于无肿瘤小鼠高,METTL3 mRNA表达在包括结肠癌在内的多种肿瘤组织中上调,METTL3表达是预测结肠癌预后的独立危险因素,且通过分别建立野生型和髓细胞METTL3特异性敲除的小鼠MC38结肠肿瘤模型观察得METTL3缺乏的骨髓细胞可限制肿瘤进展等。


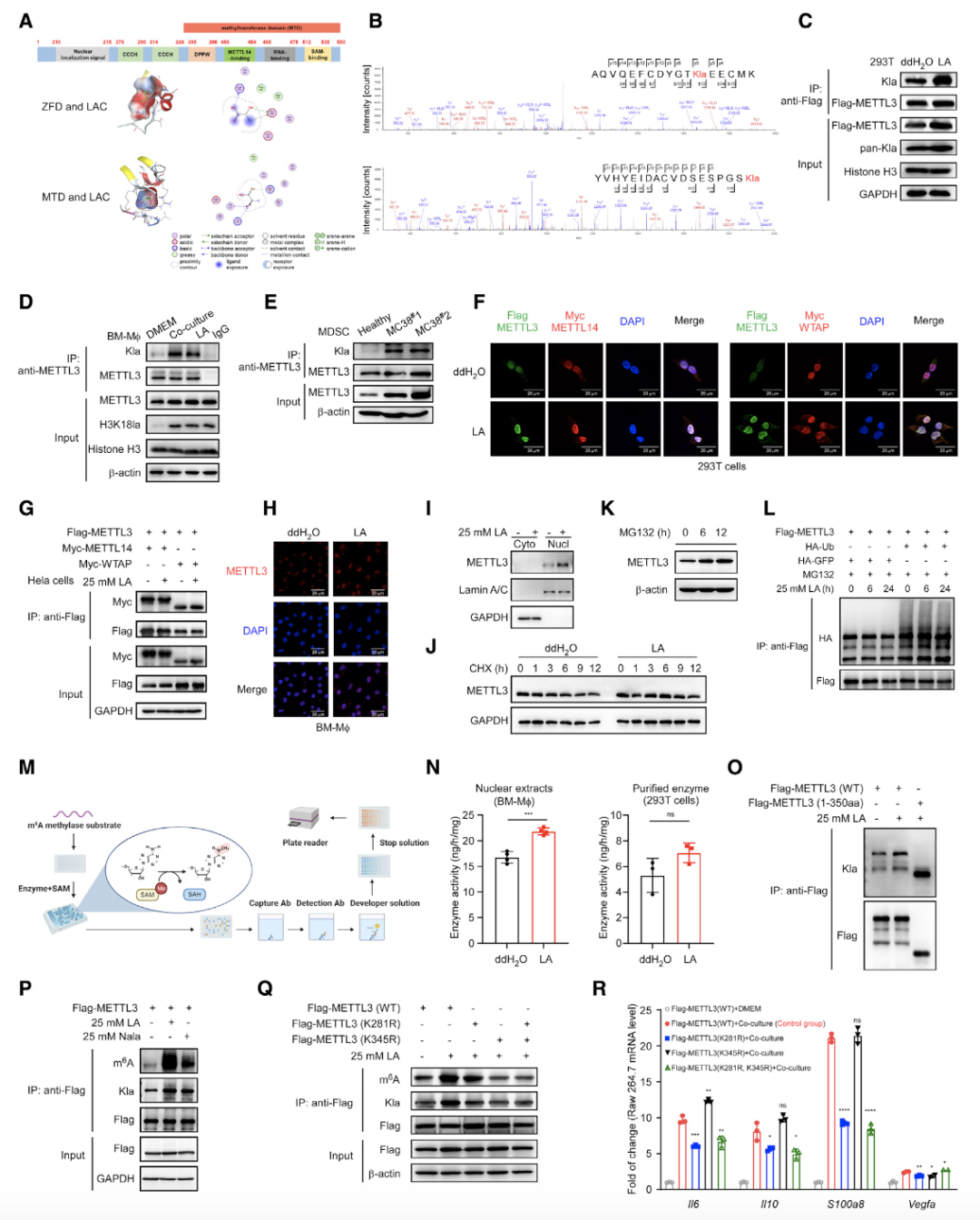
作者利用分子操作环境下的分子对接来预测L-乳酸分子与METTL3的甲基转移酶结构域或锌指结构域之间的结合亲和力,利用液相色谱-质谱(LC-MS)鉴定了METTL3的修饰位点,包括K281和K345,发现Kla确实存在于METTL3上,在与MC38肿瘤细胞共培养24小时和肿瘤浸润的髓源性抑制细胞后,髓源性巨噬细胞中也可以检测到METTL3的乳酸化,作者还利用免疫印迹、细胞转染等方法证明了METTL3乳酸化增强了靶序列RNAm6A修饰。

研究结论
总而言之,该研究强调了乳酸化驱动的METTL3介导的RNA m6A修饰对促进肿瘤浸润性骨髓细胞免疫抑制能力的重要性,有可能作为一种新的免疫治疗策略来干预结直肠癌,为肿瘤免疫治疗提供了新的依据。

