人物介绍

图为查尔斯·M·赖斯(Charles M. Rice)
2020年诺贝尔生理学或医学奖授予哈维·阿尔特(Harvey J. Alter),迈克尔·霍顿(Michael Houghton)和查尔斯·M·赖斯(Charles M. Rice),以表彰他们在“发现丙型肝炎病毒”方面作出的贡献。其中一位得主查尔斯·M·赖斯和我国上海有着特殊的关系。他是复旦大学上海医学院的教育部、卫生部医学分子病毒学重点实验室的学术委员会委员。而关于丙肝,他早期进行过一项研究,利用定量蛋白质组学确定了血清反应因子结合蛋白1为丙型肝炎病毒进入的宿主因子,这篇研究成果发表在了CELL杂志上。

丙型肝炎病毒(HCV)通过多步机制进入人类肝细胞,其中包括宿主蛋白以及其他病毒受体CD81。作者利用定量蛋白质组学,以识别HCV触发的CD81相互作用,并找到26个动态结合蛋白质。如RNAi所示,这些蛋白质中至少有六种会促进HCV感染。作者进一步表征了血清反应因子结合蛋白1(SRFBP1),该蛋白在HCV摄取期间被募集至CD81,它与CD81形成复合物并支持HCV在肝癌细胞和原代人肝细胞中的感染。因此,SRFBP1是HCV特异性的泛基因型宿主进入因子。
1. 定量蛋白质组学可识别病毒依赖于受体的相互作用
作者使用细胞培养物中氨基酸的稳定同位素标记(SILAC)和定量相互作用蛋白质组学来研究宿主蛋白与HCV暴露后与HCV受体CD81的相互作用。实验步骤如下图,实验确定了HCV进入过程中选择的26种瞬时蛋白受体相互作用,包括已知的HCV进入辅因子和连接膜蛋白簇。作者认为,定量相互作用蛋白质组学是识别感染因子宿主因子的一种有吸引力的策略。


2.病毒依赖性CD81结合蛋白可促进HCV感染
作者发现八个瞬时CD81相互作用伴侣在沉默时可减少HCV感染(图2)。八个靶标中的六个的转录水平降至加扰的siRNA对照的25%或更少。六种推定的HCV宿主因子是SRFBP1,自动整合障碍因子(BANF1),肌球蛋白9(MYH9),血影蛋白β链,非红细胞生成素1(SPTBN1),钙蛋白酶I轻链(S100A10)和多聚ADP -核糖]聚合酶1(PARP1)。 在所有测试的瞬时CD81相互作用因子中,SRFBP1在敲除后显示出最强的HCV感染力降低。最终确定,在26个经过测试的瞬时CD81相互作用因子中,至少有6个促进HCV感染,并且CD81的结合(五个)明显高于分离的(一个)因子。

3.SRFBP1结合CD81并帮助感染所有HCV(而非VSV)基因型
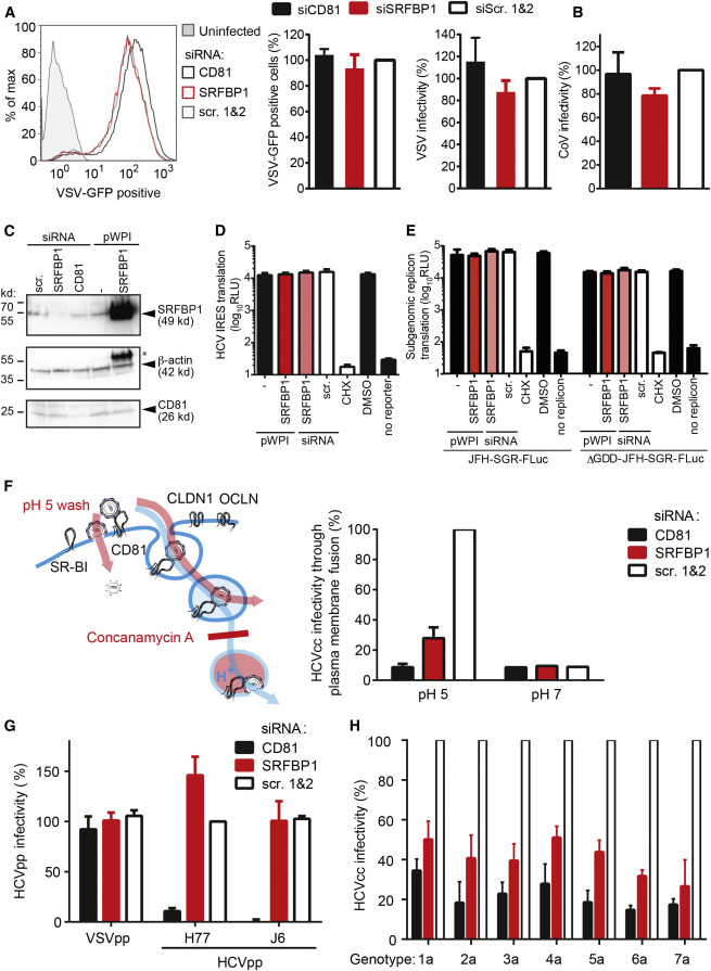
作者接下来研究了HCV生命周期中的哪一步需要SRFBP1。首先,证实在SRFBP1沉默的肝癌细胞中传入病毒的感染性受到损害。三个靶向SRFBP1的siRNA和三个单独siRNA(nt96,nt394和nt1038)的集合降低了SRFBP1蛋白的表达,并导致HCV感染力降低了多达4倍(图3)。 CD81沉默的细胞显示CD81表面表达降低5倍,感染力降低10倍。SRFBP1与HCV进入因子CD81的关联提示在HCV进入或早期进入后事件中起作用。

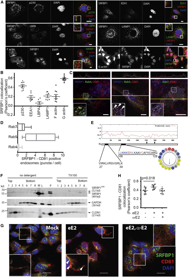
4.SRFBP1部分位于人肝癌细胞的细胞内膜上
是HCV进入的前提
为了测试HCV进入过程中SRFBP1的重新定位,作者将Huh-7.5细胞暴露于HCV E2糖蛋白(eE2)的纯化胞外域。这导致SRFBP1和CD81的共定位增加(皮尔逊相关系数0.5),当共同施用E2阻断抗体时可以逆转(图5)。值得注意的是,在eE2暴露后和HCV暴露后的肝癌细胞中观察到SRFBP1募集到CD81阳性隔室中。总而言之,数据表明SRFBP1部分位于人肝癌细胞的细胞内膜上,并且HCV糖蛋白暴露促进SRFBP1和CD81的共定位。

此外,作者还测试了SRFBP1是否也支持其他包膜病毒的感染。在Huh-7.5细胞中,SRFBP1沉默不会降低水疱性口炎病毒(VSV)或人冠状病毒229E的感染力(图6),暗示SRFBP1是HCV特异性宿主因子。

参考文献:Charles M. Rice et.al, Quantitative Proteomics Identifies Serum Response Factor Binding Protein 1 as a Host Factor for Hepatitis C Virus Entry, DOI:https://doi.org/10.1016/j.celrep.2015.06.063
原文链接:https://www.cell.com/cell-reports/fulltext/S2211-1247(15)00689-0
往期 · 推荐

严谨对待每一次生物质谱
微信号|trans-omics
官网 | www.mhelix.cn

